Table of Contents
« prev
next »
Washington University Experience
|
MISCELLANEOUS
|
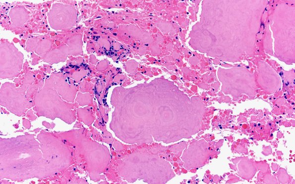
Amyloidoma
|
7B2 Amyloidoma (Case 7) H&E 10X
7B2,3 Higher magnification of the amorphous aggregates shows concentric rings. (H&E)
Image Info
Camera Maker:
Olympus
Camera Model:
DP74
Shutter Speed:
41/20000 sec
Metering Mode:
Multi-Spot
Gallery RSS
|
Archive View
|
Login
|
Powered by
Zenphoto