Table of Contents
« prev
next »
Washington University Experience
|
MISCELLANEOUS
|
Amyloidoma
|
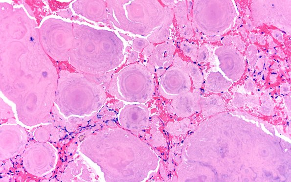
7B3 Amyloidoma (Case 7) H&E 20X 4
Higher magnification of the amorphous aggregates shows concentric rings. (H&E)
Image Info
Camera Maker:
Olympus
Camera Model:
DP74
Shutter Speed:
7/5000 sec
Metering Mode:
Multi-Spot
Gallery RSS
|
Archive View
|
Login
|
Powered by
Zenphoto