Table of Contents
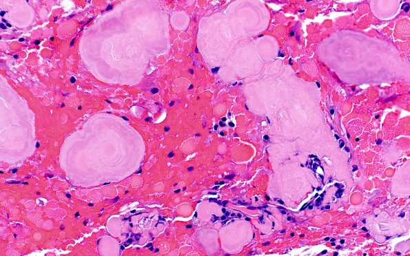
Washington University Experience | MISCELLANEOUS | Amyloidoma | 7B9 Amyloidoma (Case 7) H&E 40X 2
Additional examples of amyloid globules. (H&E) ---- Comment: Immunostains were performed by the outside institution and not sent for review. Per report, amorphous material is positive with Congo red. CD138 highlights plasma cells around amyloid and vessels. VS38c is positive in plasma cells. ISH lambda is positive and ISH kappa is negative, i.e. these are lambda-restricted plasma cells. CD20 is positive in patchy clusters of B cells. CD3 is positive in occasional perivascular and scattered small T cells. Synaptophysin is negative. GFAP highlights gliosis. CD163 shows a mild increase in macrophages/microglia. BRAF V600E is negative. IDH1(R132H) is negative. ATRX is retained. Immunostain for p53 highlights less than 5% of cells, consistent with a wildtype staining pattern. Ki-67 proliferation index highlights less than 1% of cells. Amyloid typing by mass spectrometry identified the amyloid as derived from lambda immunoglobulin light chains. Patients do not usually have any evidence of systemic amyloidosis and their brain lesions tend to grow slowly.
