Table of Contents
« prev
next »
Washington University Experience
|
MISCELLANEOUS
|
Calciphylaxis
|
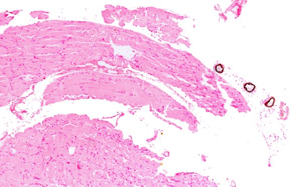
1B1 Calciphylaxis (Case 1) Von Kossa 10X 1
1B1,2 Von Kossa stained sections showing the stippled depositions of darkly stained calcium within the vessel walls.
Image Info
Camera Maker:
Olympus
Camera Model:
DP74
Shutter Speed:
13/50000 sec
Metering Mode:
Multi-Spot
Gallery RSS
|
Archive View
|
Login
|
Powered by
Zenphoto