Table of Contents
Washington University Experience | MISCELLANEOUS | Familial erythrophagic lymphohistiocytosis | 1A1 Hemophagocytic Lymphohistiocytosis (Case 1) BM H&E 5
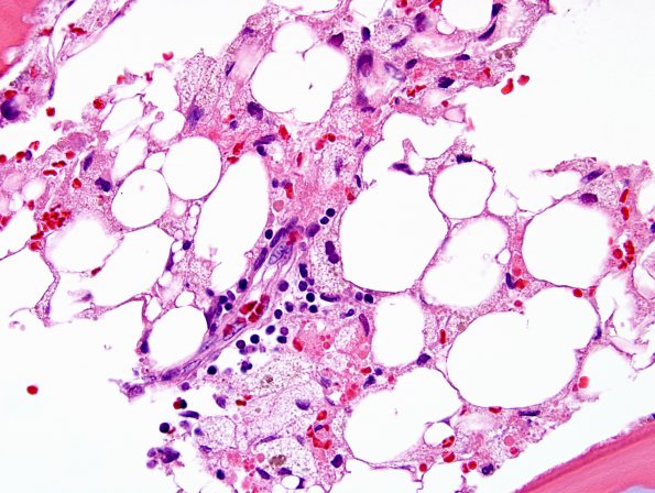
The bone marrow is markedly depopulated of hematopoietic marrow elements containing large numbers of histiocytes and fat cells (H&E).
