Table of Contents
Washington University Experience | MISCELLANEOUS | Familial erythrophagic lymphohistiocytosis | 1C3 Familial erythrophagic lymphohistiocytosis (Case 1) N11 H&E 1 copy.
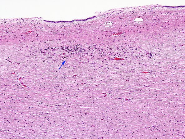
1C3,4 Several magnifications of periventricular pallor, degeneration, mineralization (arrow) and astrocytosis (H&E)
