Table of Contents
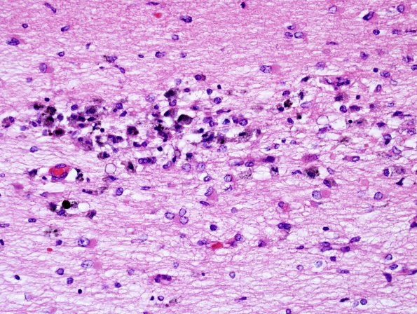
Washington University Experience | MISCELLANEOUS | Familial erythrophagic lymphohistiocytosis | 1C4 Familial erythrophagic lymphohistiocytosis (Case 1) N2 H&E 11
Periventricular pallor, degeneration, mineralization and astrocytosis (H&E)
