Table of Contents
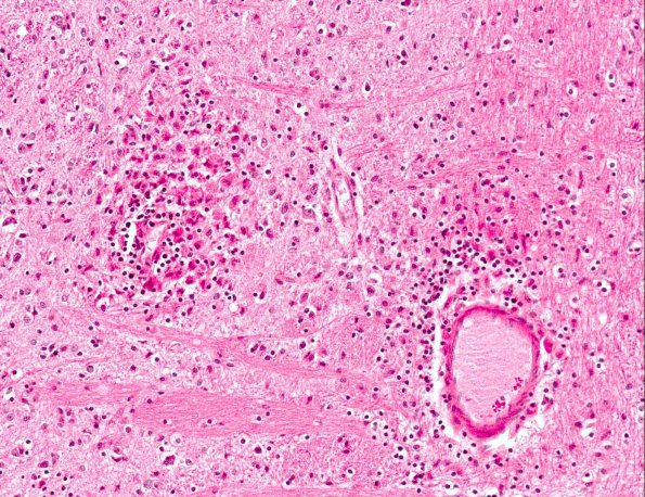
Washington University Experience | MISCELLANEOUS | Familial erythrophagic lymphohistiocytosis | 2A4 Familial erythrophagic lymphohistiocytosis (AANP 1980, Case 2) H&E X20 2
Higher magnification of the pontine pathology shows perivascular collections of an inflammatory infiltrate consisting of histiocytes, lymphocytes and mononuclear cells. The integrity of the vessel wall is relatively well preserved (H&E)
