Table of Contents
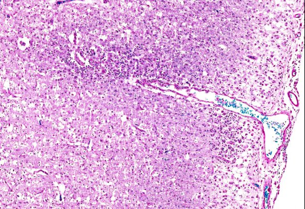
Washington University Experience | MISCELLANEOUS | Familial erythrophagic lymphohistiocytosis | 2B6 Familial erythrophagic lymphohistiocytosis (AANP 1980, Case 2) LFB-PAS 6.6X
2B6,7 Higher magnification image of cortical gray matter pathology shows numerous perivascular and parenchymal histiocytes (LFB-PAS)
