Table of Contents
Washington University Experience | MISCELLANEOUS | Familial erythrophagic lymphohistiocytosis | 3B1 HLH (DDx ADEM) (Case 3) 6-8-2018 FLAIR 21 - Copy
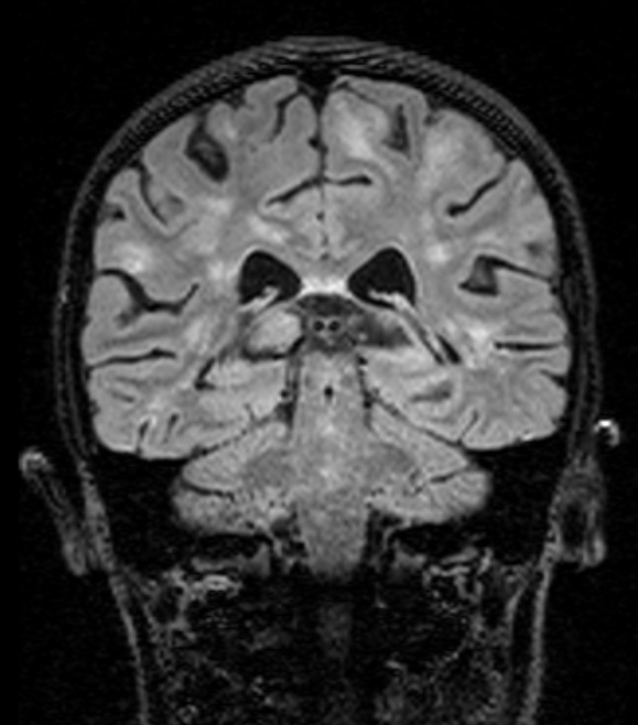
Coronal T2 FLAIR image is shown ~4 months later in the patient’s illness than the images #3A1,2. The worsening of her MRI examination at this time prompted additional workup which culminated in the diagnosis of HLH, type 2.
