Table of Contents
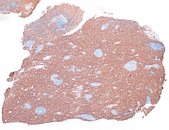
Washington University Experience | MISCELLANEOUS | Familial erythrophagic lymphohistiocytosis | 3D3 HLH, Perforin1 mutation (Case 3) NF 4X
All areas of the specimen, both central demyelination and perivascular peripheral regions have comparable preservation of axons (NF IHC)
