Table of Contents
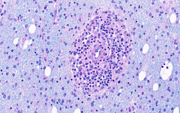
Washington University Experience | MISCELLANEOUS | Familial erythrophagic lymphohistiocytosis | 3E5 HLH, Perforin1 mutation (Case 3) LFB-PAS 3
3E5,6 The parenchymal myelin is preserved with perivascular pallor (#3E5) reflecting the actual perivascular cellular infiltrate in the absence of additional myelin loss. The axonal population is maintained (#3E6) (LFB-PAS)
