Table of Contents
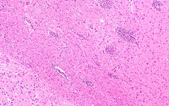
Washington University Experience | MISCELLANEOUS | Familial erythrophagic lymphohistiocytosis | 4B3 Lymphohistiocytosis (Case 4) H&E N3 10X
Low magnification images demonstrate the cortex and underlying white matter involved by groups of cells, most visible as perivascular infiltrates in the white matter. (H&E)
