Table of Contents
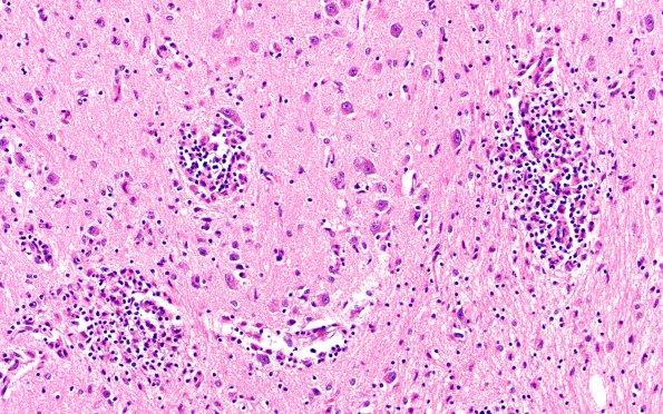
Washington University Experience | MISCELLANEOUS | Familial erythrophagic lymphohistiocytosis | 4B4 Lymphohistiocytosis (Case 4) H&E N3 20X 2
4B4-6 Higher magnification of the infiltrate demonstrates a number of inflammatory cell types including lymphocytes and impressive numbers of histiocytes. (H&E)
