Table of Contents
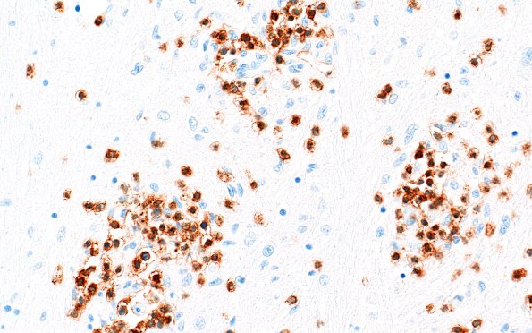
Washington University Experience | MISCELLANEOUS | Familial erythrophagic lymphohistiocytosis | 4C3 Lymphohistiocytosis (Case 4) CD3 N3 40X
Higher magnification shows the same perivascular infiltrates contain significant numbers of T cells. (CD3 IHC)
