Table of Contents
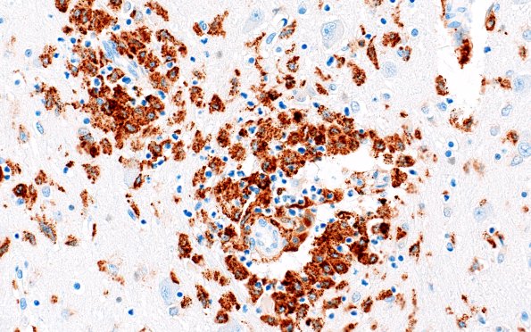
Washington University Experience | MISCELLANEOUS | Familial erythrophagic lymphohistiocytosis | 4E3 Lymphohistiocytosis (Case 4) CD68 N3 40X
The prominent histiocytic complement is demonstrated by CD68 immunohistochemistry. (CD68 IHC)
