Table of Contents
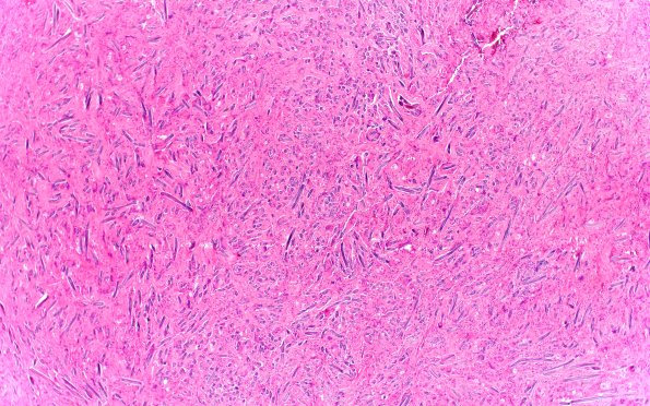
Washington University Experience | MISCELLANEOUS | Gossypiboma, Textiloma & Neurosurgical Foreign Material | 7A2 Gossypiboma, textiloma (Case 7) H&E 4X
H&E-stained sections show numerous fragments of foreign material embedded within fibrous tissue with associated foreign body giant cell reaction.
