Table of Contents
Washington University Experience | MISCELLANEOUS | Gossypiboma, Textiloma & Neurosurgical Foreign Material | 7A5 Gossypiboma, textiloma (Case 7) H&E 40X 1
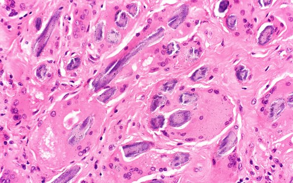
Higher magnification image of foreign material with giant cell reaction. (H&E)
