Table of Contents
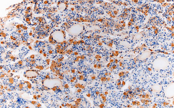
Washington University Experience | MISCELLANEOUS | Hypophysitis | Hypophysitis - Lymphocytic | 4E1 Lymphocytic Hypophysitis (Case 4) ACTH 2
4E1,2 Immunohistochemical demonstration of large numbers of ACTH containing adenohypophyseal cells, some of which are surrounded by lymphocytes, better seen in 4E2. The increased secretion of large numbers of these cells may have contributed to the patient's Cushing’s syndrome (ACTH IHC).
