Table of Contents
Washington University Experience | MISCELLANEOUS | Idiopathic Hypertrophic Pachymeningitis (IgG4 Disease) | 1A2 Idiopathic Hypertrophic Pachymeningitis (hyper-IgG4, Case 1) T1 with contrast - Copy (2)
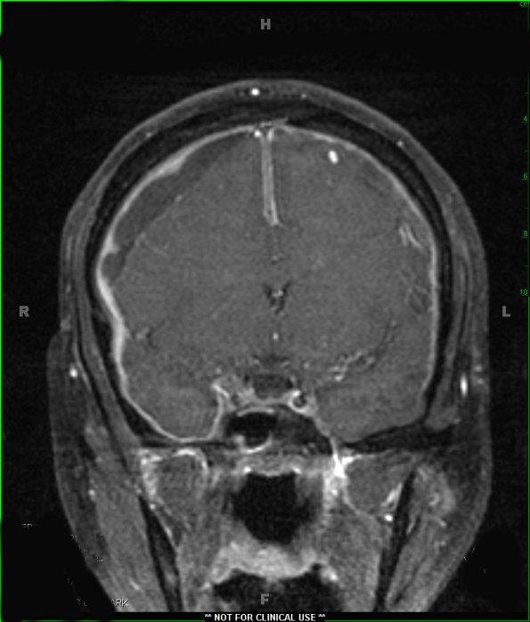
T1-weighted coronal image with contrast shows bilateral extraparenchymal lesions which enhance with contrast (1A2).
