Table of Contents
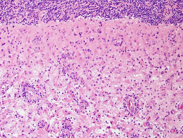
Washington University Experience | MISCELLANEOUS | Idiopathic Hypertrophic Pachymeningitis (IgG4 Disease) | 2A12 IgG4-Related Hypertrophic Pachymeningitis (Case 2) H&E 18
Progressively increasing magnifications of the junction of meninges and brain parenchyma shows continuation of the inflammation along Virchow-Robin spaces and adjacent gemistocytic reactive astrocytosis (H&E)
