Table of Contents
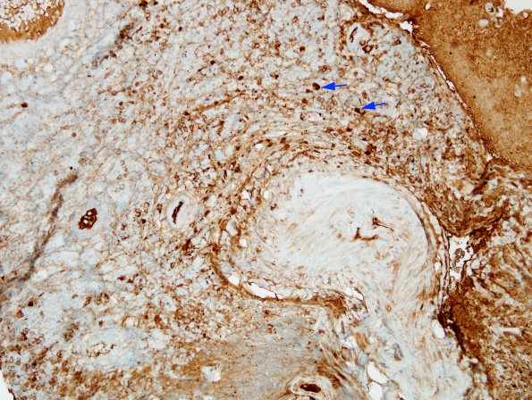
Washington University Experience | MISCELLANEOUS | Idiopathic Hypertrophic Pachymeningitis (IgG4 Disease) | 2B2 IgG4-Related Hypertrophic Pachymeningitis (Case 2) A1 IgG 1 copy
Although the background is substantial, strong staining of plasma cells with IgG is patchy (arrows, 2B2) and modest compared with IHC staining for IgG4 (2C1-4)
