Table of Contents
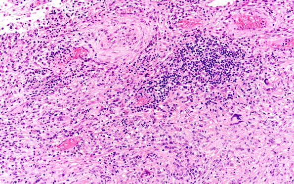
Washington University Experience | MISCELLANEOUS | Idiopathic Hypertrophic Pachymeningitis (IgG4 Disease) | 7B2 IgG4 disease (Case 7) H&E 20X 3
7B2,3 The inflammation is focal consisting of a heterogenous infiltrate including lymphocytes, plasma cells and histiocytes with focal granuloma formation containing multinucleated giant cells, scattered eosinophils and neutrophils. There is significant fibrosis and thickening of the walls of numerous vessels, likely following vasculitis. (H&E)
