Table of Contents
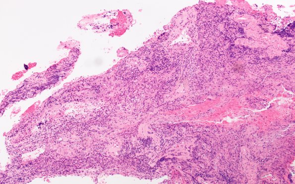
Washington University Experience | MISCELLANEOUS | Idiopathic Hypertrophic Pachymeningitis (IgG4 Disease) | 8E1 Brain (Case 8) A2 H&E 10X 1
8E1-3 The dura and leptomeninges shows a complex inflammatory infiltrate including epithelioid histiocytes, fibrosis and fibrinoid vasculitis, likely including some venous sinus elements. (H&E)
