Table of Contents
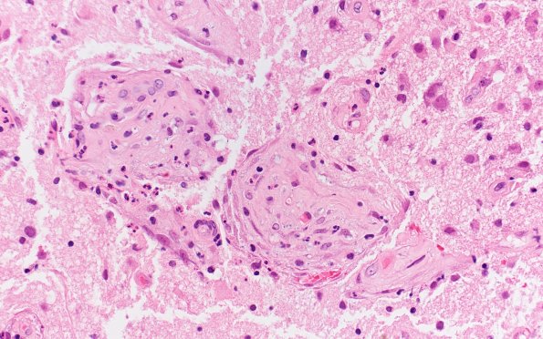
Washington University Experience | MISCELLANEOUS | Idiopathic Hypertrophic Pachymeningitis (IgG4 Disease) | 8E6 Brain (Case 8) A2 H&E 40X 3
The underlying brain parenchyma shows numerous non-necrotizing granulomas which are intimately associated with parenchymal vasculature and include crumbs of angionecrosis. (H&E)
