Table of Contents
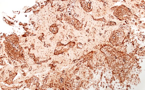
Washington University Experience | MISCELLANEOUS | Idiopathic Hypertrophic Pachymeningitis (IgG4 Disease) | 8G1 Brain (Case 8) A2 SMA 10X 1
8G1-3 Although the smooth muscle actin stain shows an unusual disruption of the perivascular spaces, the vasculopathy reaches angionecrosis in significantly fewer vessels. (SMA IHC)
