Table of Contents
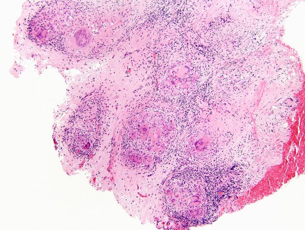
Washington University Experience | MISCELLANEOUS | Neurosarcoid - no PNS | 8B1 Neurosarcoidosis (Case 8) H&E low power b
8B1-5 Granulomatous inflammation in connective tissue in the superficial temporal lobe shows prominent granulomas with epithelioid histiocytes and multinucleated giant cells (H&E)
