Table of Contents
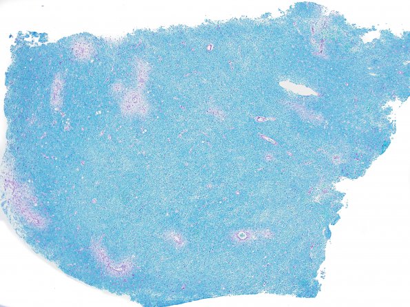
Washington University Experience | MYELIN (IMMUNE-MEDIATED) | ADEM | 2C1 ADEM (Case 2) 1 LFB-PAS 4X
Compare this image of white matter stained with the myelin stain LFB-PAS to demonstrate myelin loss to its H&E stained appearance (1B1). Notice that the areas of myelin deficiency form consistently around small venules. (LFB-PAS)
