Table of Contents
« prev
Washington University Experience
|
MYELIN (IMMUNE-MEDIATED)
|
ADEM
|
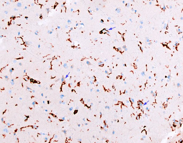
6H4 ADEM (Case 6) CD163 3A
Higher magnification shows numerous microglia within the cerebral cortex adjacent to cortical neurons (arrows, CD163 IHC)
Image Info
Camera Maker:
Olympus
Camera Model:
DP74 #1
Shutter Speed:
37/45679 sec
Metering Mode:
Multi-Spot
Gallery RSS
|
Archive View
|
Login
|
Powered by
Zenphoto