Table of Contents
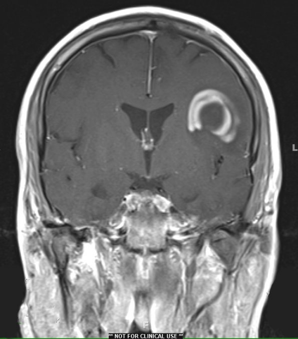
Washington University Experience | MYELIN (IMMUNE-MEDIATED) | Balo Concentric Sclerosis | 1B6 Balo Concentric Sclerosis (Case 1) MRI 8 T1 With contrast - Copy (2)
Coronal T1-weighted image with contrast demonstrates concentric rings with alternating hyperintensity and isointensity. Enhancement does not typically form continuously around the entire lesion. Incomplete ring enhancement is a pattern which is more common in demyelinative disease than high grade gliomas
