Table of Contents
« prev
next »
Washington University Experience
|
MYELIN (IMMUNE-MEDIATED)
|
Balo Concentric Sclerosis
|
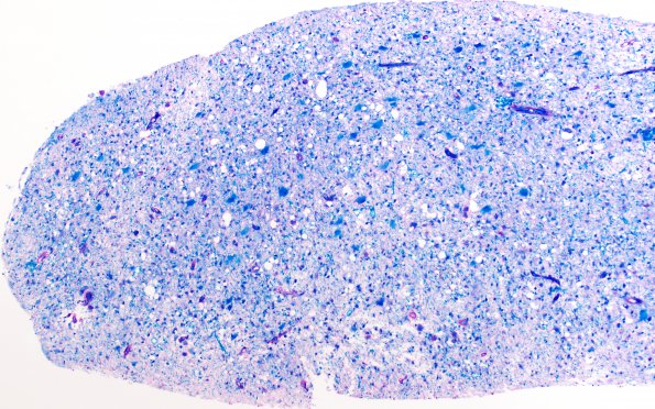
1F1 Balo Concentric Sclerosis (Case 1) B series LFB-PAS 10X
The same area as 1E3 stained for myelin (LFB-PAS).
Image Info
Camera Maker:
Olympus
Camera Model:
DP74 #1
Shutter Speed:
7/12500 sec
Metering Mode:
Multi-Spot
Gallery RSS
|
Archive View
|
Login
|
Powered by
Zenphoto