Table of Contents
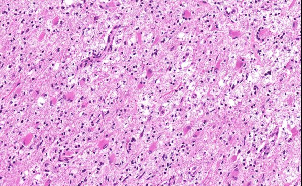
Washington University Experience | MYELIN (IMMUNE-MEDIATED) | Balo Concentric Sclerosis | 4B2 Balo Concentric Sclerosis (AANP 2015 Case 3) H&E 17.8X
This pale demyelinated region is rich in macrophages, atypical astrocytes and scattered lymphocytes (H&E)
