Table of Contents
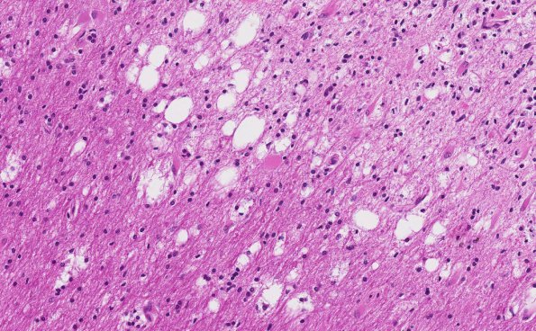
Washington University Experience | MYELIN (IMMUNE-MEDIATED) | Balo Concentric Sclerosis | 4B4 Balo Concentric Sclerosis (AANP 2015 Case 3) H&E 17.8X normal WM
This is a high magnification image of the transition of demyelinated (upper right margin) and normal appearing white matter (left and inferior margins) (H&E)
