Table of Contents
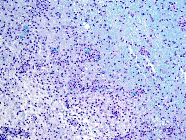
Washington University Experience | MYELIN (IMMUNE-MEDIATED) | Inflammatory Demyelination | 13B4 Inflammatory demyelination (Case 13) LFB-PAS 20X
Higher magnification images of the junction of myelinated and demyelinated areas in multiple sites in the specimen (LFB-PAS)
