Table of Contents
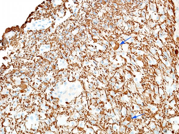
Washington University Experience | MYELIN (IMMUNE-MEDIATED) | Inflammatory Demyelination | 13C3 Inflammatory demyelination (Case 13) NFil 2 copy
13C3,4 Although axons are preferentially spared in the demyelinative process, scattered swollen axonal spheroids (arrows, 13C3) attest to their injury during the process. (NF IHC)
