Table of Contents
Washington University Experience | MYELIN (IMMUNE-MEDIATED) | Inflammatory Demyelination | 14A Inflammatory Demyelination (Case 14) FLAIR A - Copy - Copy
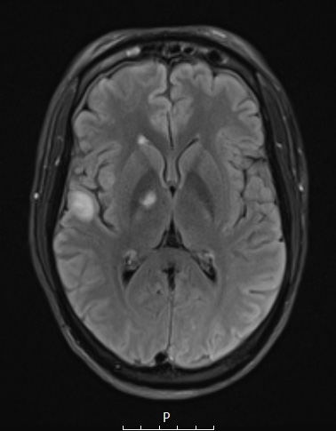
Case 14 History ---- The patient is a 38yo male who presented with bilateral vision loss and multiple brain lesions concerning for demyelinating disease, undergoing resection of a temporal lobe brain lesion. Operative procedure: right temporal lobe craniotomy for resection of the temporal lobe lesion. ---- 14A This FLAIR scan shows severe hyperintense lesions largely in the white matter. The largest lesion was the one biopsied.
