Table of Contents
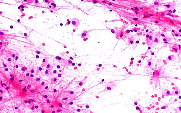
Washington University Experience | MYELIN (IMMUNE-MEDIATED) | Inflammatory Demyelination | 14B1 Inflammatory Demyelination (Case 14) Smear 40X 1
14B1,2 If the smear shows numerous foamy macrophages consider a demyelinating process. (H&E)
