Table of Contents
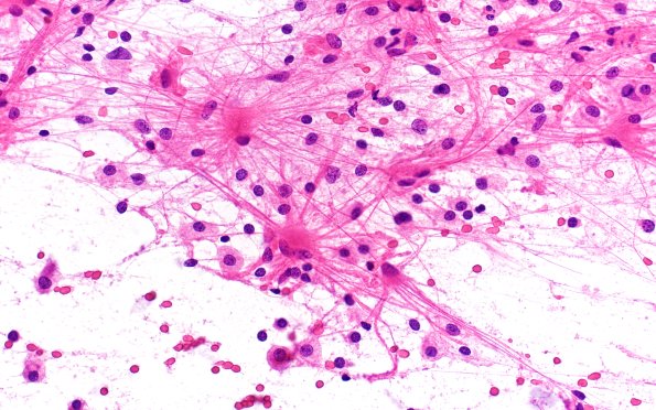
Washington University Experience | MYELIN (IMMUNE-MEDIATED) | Inflammatory Demyelination | 14B2 Inflammatory Demyelination (Case 14) Smear 40X 2
If the smear shows numerous foamy macrophages consider a demyelinating process. (H&E)
