Table of Contents
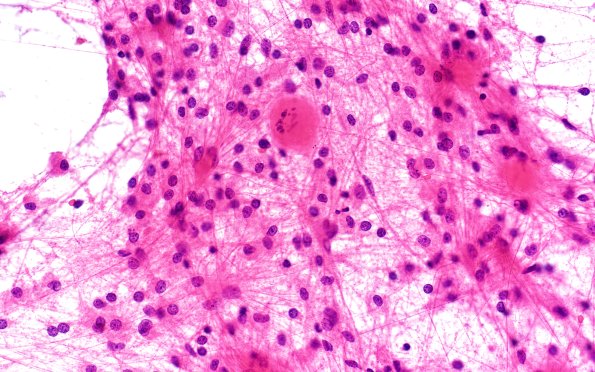
Washington University Experience | MYELIN (IMMUNE-MEDIATED) | Inflammatory Demyelination | 14B3 Inflammatory Demyelination (Case 14) Smear 40X 3
14B3,4 Enlarged Creutzfeldt cells containing copious amounts of eosinophilic cytoplasm and multiple micronuclei or granular mitoses are common in demyelinative processes but are not pathognomonic. (H&E)
