Table of Contents
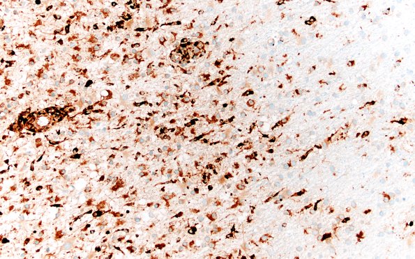
Washington University Experience | MYELIN (IMMUNE-MEDIATED) | Inflammatory Demyelination | 14E3 Inflammatory Demyelination (Case 14) D3 CD68 20X 1
The (nearly) sequential sections of the margin of the demyelinated focus with normal myelin as shown for macrophages. (CD68 IHC, all at 20X)
