Table of Contents
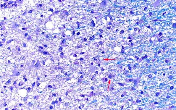
Washington University Experience | MYELIN (IMMUNE-MEDIATED) | Inflammatory Demyelination | 14F1 Inflammatory Demyelination (Case 14) D3 LFB-PAS 40X 1 copy
14F1,2 High magnification of the demyelinated margin shows loss of myelin and uptake by macrophages (arrows, LFB-PAS)
