Table of Contents
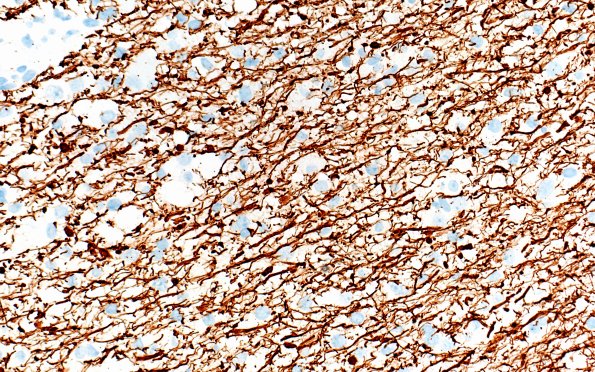
Washington University Experience | MYELIN (IMMUNE-MEDIATED) | Inflammatory Demyelination | 14F3 Inflammatory Demyelination (Case 14) D3 NF 40X
Higher magnification of neurofilament labeled material shows relative preservation of immunoreactive axons. (NF IHC)
