Table of Contents
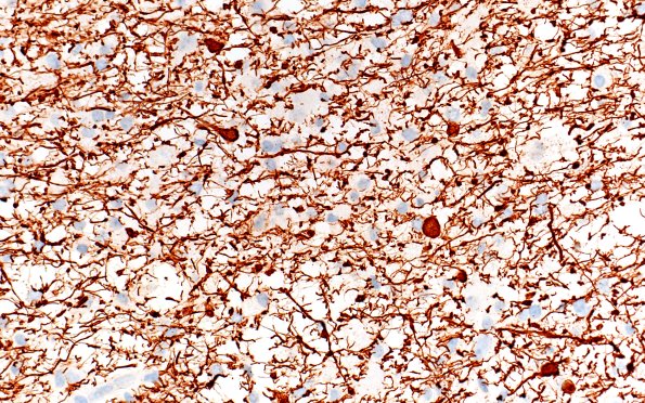
Washington University Experience | MYELIN (IMMUNE-MEDIATED) | Inflammatory Demyelination | 14F4 Inflammatory Demyelination (Case 14) D3 NF 40X 2
14F4,5 Notice that there are scattered NF immunoreactive axonal spheroids demonstrating there is relative not absolute axonal preservation. (NF IHC)
