Table of Contents
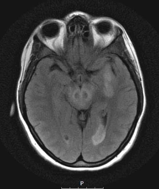
Washington University Experience | MYELIN (IMMUNE-MEDIATED) | Inflammatory Demyelination | 15A1 Inflamm Demyel (Case 15) T2 FLAIR a - Copy
A T2 FLAIR scan shows multiple lesions in the subcortical and periventricular hemispheric regions and the brainstem.
