Table of Contents
Washington University Experience | MYELIN (IMMUNE-MEDIATED) | Inflammatory Demyelination | 15B1Inflamm Demyel (Case 15) 4X copy
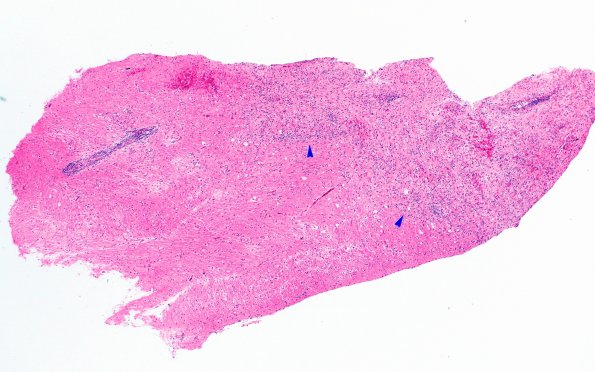
15B1-4 The left occipital lesion was biopsied. (H&E) ---- A portion of the neurosurgical white matter biopsy shows the pale demyelinated area demarcated from the normal myelin (arrowheads). (H&E)
