Table of Contents
« prev
next »
Washington University Experience
|
MYELIN (IMMUNE-MEDIATED)
|
Inflammatory Demyelination
|
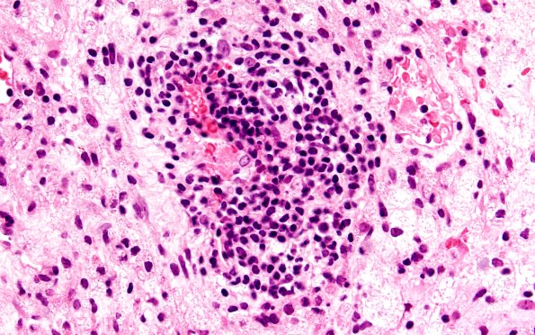
15B4 Inflamm Demyel (Case 15) A2 40X 4
Prominent perivascular lymphocytic infiltrate. (H&E)
Image Info
Camera Maker:
Olympus
Camera Model:
DP74
Shutter Speed:
11/1000 sec
Metering Mode:
Multi-Spot
Gallery RSS
|
Archive View
|
Login
|
Powered by
Zenphoto