Table of Contents
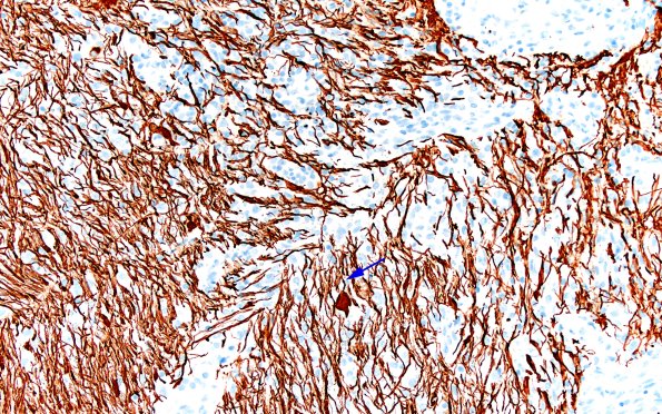
Washington University Experience | MYELIN (IMMUNE-MEDIATED) | Inflammatory Demyelination | 15D2 Inflamm Demyel (Case 15) NF 20X copy
15D2-5 The margin of the demyelinated focus stained for axons showing relative axonal preservation. The density of the axons is diminished by their separation by foamy macrophages. (NF IHC)
