Table of Contents
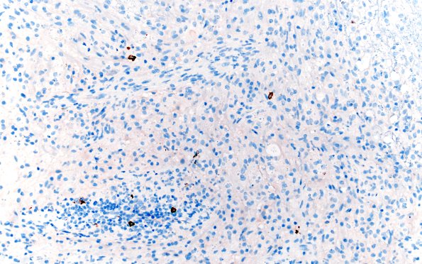
Washington University Experience | MYELIN (IMMUNE-MEDIATED) | Inflammatory Demyelination | 15G2 Inflamm Demyel (Case 15) CD20 20X
B cells are diminished in number compared with T cells and are typically located in the perivascular region. (CD20 IHC)
