Table of Contents
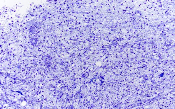
Washington University Experience | MYELIN (IMMUNE-MEDIATED) | Inflammatory Demyelination | 15J1 Inflamm Demyel (Case 15) Plastic 20X 1
15J1-5 One micron thick toluidine blue stained plastic sections of the demyelinated focus. ---- 15J1-3 Several magnifications of a focus of nearly complete demyelination with most of the image composed of foamy macrophages. (One micron thick toluidine blue stained plastic sections)
