Table of Contents
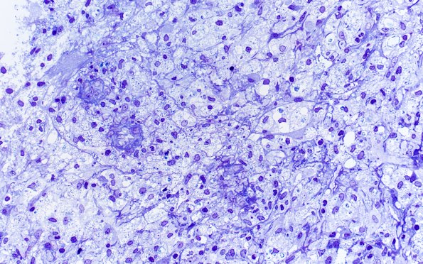
Washington University Experience | MYELIN (IMMUNE-MEDIATED) | Inflammatory Demyelination | 15J2 Inflamm Demyel (Case 15) Plastic 40X 3
Several magnifications of a focus of nearly complete demyelination with most of the image composed of foamy macrophages. (One micron thick toluidine blue stained plastic sections)
